Feuersalamander -Lurchi in Not
Schlechter Start ins neue Jahrtausend
Es ist erst wenige Jahre her, dass in den Niederlanden ein neuer Pilz auf der Haut von Amphibien entdeckt wurde. Sein Name: Batrachochytrium salamandrivorans, kurz Bsal. Die Gefahr, die er darstellt, verdeutlicht die deutsche Übersetzung: der Salamanderfresser. Rasend schnell verbreitet er sich unter europäischen Schwanzlurchen. Während Molche insgesamt weniger betroffen zu sein scheinen, verläuft eine Infektion für Feuersalamander mit großer Sicherheit tödlich. Ganze Populationen drohen zu verschwinden.
Wo kommt die Pilz-Epidemie her?
Vermutet wird, dass Bsal aus Ostasien stammt und über den Handel mit asiatischen Molchen den Weg nach Europa fand. Er könnte aber auch mit Wasserpflanzen oder in einem feuchten Lehmklumpen gereist sein, kurz: Man weiß es nicht. Was wir aber wissen: Er wird bleiben. Und sich weiter ausbreiten – mit verheerenden Folgen.
Vermutlich Anfang der 2000er-Jahre gelangte Bsal irgendwo im Dreiländereck Deutschland – Niederlande – Belgien in die Natur. Von hier aus wanderte der Pilz in Richtung Osten und eroberte das Ruhrgebiet. Im Sommer 2020 schließlich machte er einen riesigen Sprung über 500 Kilometer und tauchte an zwei Orten in Bayern auf. 2024 erfolgte der Erstnachweis auch in Hessen.


Der Pilz führt zu Massensterben des Feuersalamanders
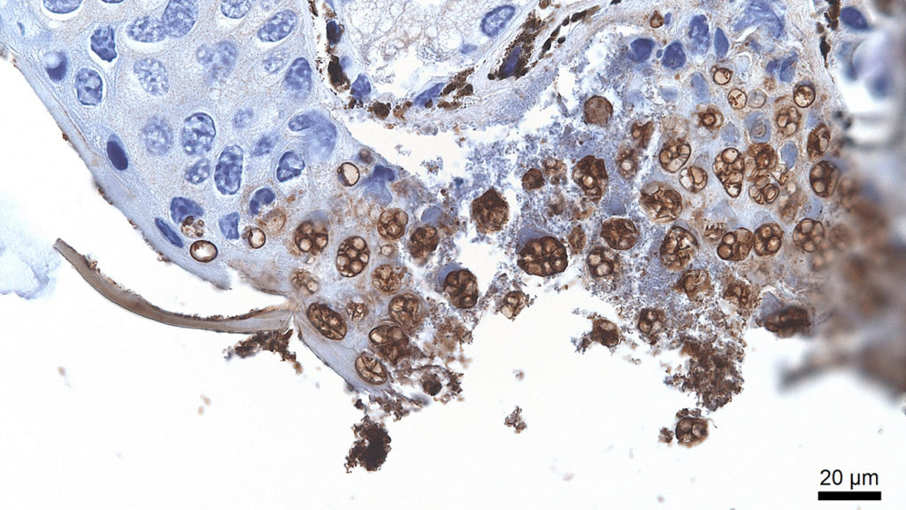
Bsal befällt die empfindliche Haut der Lurche. Er frisst regelrechte Löcher hinein und führt vermutlich über eine Sepsis zum Tod. Erst in fortgeschrittenem Stadium werden die äußerlichen Schäden sichtbar, dann ist es oft schon zu spät. Bei Feuersalamandern führt eine Infektion mit Bsal ohne Behandlung vermutlich fast immer zum Tod. Mit anderen Worten: In Regionen, in denen der Pilz auftaucht, kommt es zu Massensterben des Feuersalamanders und es besteht die Gefahr, dass er dort faktisch ausgelöscht wird.
Das Aussterben kann verhindert werden
Zwar ist Bsal behandelbar – aber leider nur in menschlicher Obhut. Bei dem bisher bekannten Typ des Pilzes erweist sich eine Wärmetherapie als wirksam. Nach zwei Wochen in einer Wärmekammer bei Temperaturen von konstant 25 °C ist der Pilz abgestorben. Die Salamander mögen es zwar lieber kühler, überstehen die Prozedur aber normalerweise gut. So können befallene Tiere wieder gesundgepflegt werden.
Im Biotop allerdings hilft keine Therapie, und geheilte Salamander können auch nicht wieder dorthin zurückgebracht werden, wenn sie nicht erneut erkranken sollen. Denn eine Immunität bildet sich durch die Wärmetherapie nicht aus, und im Wald lauert immer noch der Pilz.
Daher ist die einzige Option, betroffene Feuersalamanderpopulationen sicher zu erhalten, Tiere daraus in menschliche Obhut zu nehmen und dort nachzuzüchten. Wie auf einer Arche können sie dann überdauern, bis hoffentlich eines Tages die Lage im Lebensraum wieder sicher ist, die Tiere Immunität oder Resilienz gegen den Pilz entwickelt haben oder es eine Möglichkeit der Impfung gibt.

Der Aufbau von Reservepopulationen lokaler Feuersalamanderbestände stellt sicher, die Nachfahren der Tiere später wieder ansiedeln zu können.
Wie Archen gestaltet werden können
Um nicht nur einzelne Feuersalamander zu retten, sondern die ganze Art, benötigt man einige Archen. Alles auf eine Karte zu setzen, also beispielsweise alle Tiere an einem Standort zu halten, mag zwar wirtschaftlich effizient sein, aber das Risiko, dass bei einer lokalen Katastrophe alle Tiere betroffen sind, ist viel zu groß. Auch gibt es unterschiedliche Möglichkeiten, so eine Arche zu gestalten, vor allem, wenn man den Feuersalamander in seiner Vielfalt erhalten möchte. Dabei spielt die genetische Diversität eine zentrale Rolle, da diese schon einigermaßen gut untersucht ist. Aber wie sieht es zum Beispiel mit der Vielfalt an Bakterien und anderen Mikroorganismen aus, die die Feuersalamander im Darm oder auf der Haut haben?
Um möglichst viele Optionen für die Zukunft zu haben, benötigen wir ein Netzwerk an Archen. Wie dieses aussehen könnte, was man dabei alles berücksichtigen sollte, wo man anfängt und vieles mehr hat Frogs & Friends im Auftrag des Artenhilfsprogramms für den Feuersalamander in Bayern zusammengestellt. Diese Blaupause lässt sich leicht für andere Regionen anpassen. Wer möchte, kann ja mal einen Blick in die Machbarkeitsstudie werfen.

Der Salamanderfresser im Film
Autorin Susann Knakowske hat über ein Jahr lang Akteurinnen und Akteure aus Wissenschaft, Naturschutz und Tierhaltung filmisch begleitet. Das war nicht so geplant, das hat sich so ergeben. Denn weder Corona noch der Bsal-Sprung nach Bayern standen auf dem Drehplan, als wir Ende 2019 mit den Vorbereitungen begannen. Und auch diese Geschichte ist noch lange nicht zu Ende. Aber der erste Film ist fertig und gibt einen Überblick über den Stand der Dinge in Sachen Salamanderfresser im Frühjahr 2021.